나는 지금 의료업계 병원 쪽에서 근무를 하고 있지는 않지만 평소에 발목을 자주 접질리고
깁스와 스프린트를 1년에 10번 이상 하는 그런 타입이라 반깁스, 깁스에 대해 걍 이 쪽이 다쳤을때는
스프린트 반깁스를 처방하는구나 뭐 이런거에 꽂혀서 공부했다.
외래 갔을 때 원장님과 교수님께 물어보고 얻은 지식과 논문과 책에서 공부한 내용을 기반으로 정리하였다.
나중에 까먹을까 봐... 정리했다 친구가 레포트쓰냐고하는데 그런목적은 아니었는데...ㅋㅋ
부목의 목적과 사용
부목의 목적 - 일반적으로 근골 골계의 뼈의 골절, 인대의 손상 등 다양한 사고 발생 후 움직을 방지하여 환자의 통증과 빠른 치유를 위해
부목을 이용하여 고정 및 지지를 하고 빠른 접합 회복에 대한 목적이 있다.
움직임을 최소화하며 빠른 회복을 위해 부목과 깁스 고정을 시행함
깁스 고정 시기 : 통상적으로 깁스의 기간은 최대 1달까지이다.
6주정도도 하는 경우도 있는데 통깁스 시행 시 3주-4주를 넘지 않는다
골절부위나 수술에 따라 달라지긴하는데 보통 한달 이내이다.
예상보다 골절 부위가 회복이 안될 경우는 길게 될 수도 있음
오래했을 경우 근육이 굳어 재활치료 시 환자도 고생이다.
의학용어로 골절 Fx(Fracture)인 경우에
복합골절, 금,부러짐 등 손상에 시술하는데
금갔을겅우도 골절이고 부러졌을때도 골절이다.
부목의 종류와 사용
부목(고 정지 지대)의 일환으로 사용대는 것은 일반적으로 Splint(부목 반깁스)와 Cast(석고붕대) 두 가지이다.
일반적으로는 깁스와 반깁스를 같은 단어로 보는 사람이 많은데, 반깁스와 깁스는 다르다.
기브스나 반기브스라고 하는 분들이 많은데
틀린 표현이다 기브스는 Gibbs 일본식 발음으로
정식명칭은 깁스/반깁스다
반깁스는 말 그대로 반만 고정하는 형태의 부목이다.
환부의 반만 고정한다해서 반깁스
그래서 반깁스는 깁스로 정의하지 않고 부목으로 정의하기 때문에
상해, 손해보험에서 반깁스는 골절상이어도 보상 대상이 아니다.
깁스(통깁스)는 석고를 이용하여 다리 전체가 고정되는데 이게깁스다.
깁스는 석고를 이용하여 고정하는 방식인데, 물에 석고붕대를 적시고 환부에 Pading 하며 경화시키고 고정하는 방식으로
반깁스와 다르개 완전히 굳어 환자가 직접 풀수 없는 구조로 되어있고 통깁스라고 불린다.
석고상이나 손바닥 찍어서 만드는 모형같은 형태로 보면된다.
깁스(통깁스) 의 방법
깁스는 일반적으로 석고를 감기 전에 스티키넷을 먼저 양말처럼 신고 그 위에 솜 붕대를 감고 진행한다.
이때의 깁스는 부목고정(반깁스)가 아닌 통깁스를 의미함
골절이 심하거나 움직임을 최소화해야하는 경우 또는 수술 직후 보통 깁스 고정을 시행함
깁스의 시행과정
먼저 일반적으로 통깁스라고 불리는 깁스의 과정부터 설명한다.

스타키넷이란 관상붕대라고도 불리며 양발형태로 신는 붕대다.

깁스 순서 1. 스타키 넷 착용

2. 솜 붕대로 부위를 감는다.

3. 솜 붕대로 부위를 감은 후 그 위로 석고붕대를 감아주고 좌우로 눌러주면서 고정시켜주면 깁스의 고정이 끝난다.
이떄 스타키넷과 솜붕대를 감는 이유는 맨 피부에 깁스를 하면 깁스를 제거할 수 없고
피부에 손상이 갈 수 있기때문에 보호목적을 위해서 별도로 하고 착용을 한다.

다리 깁스를 하는 SLC(Shot leg cast)의 경우 종아리 끝까지 할 경우 발가락 부분의 종아리 끝을 깔끔하게
몰딩을 하면서 고정시켜야 한다.
여기서 그럼 깁스와 반깁스의 차이는 뭘까
반깁스의 방법
다리를 전체를 고정하는 게 아니라 이렇게 반만 부목 형태로 고정하는 것을 의미한다.

저 하얀색 지지대가 반깁스라고 하는 스프린트다
반깁스(Splint) 부목의 시술
Splint는 폴리와 유리섬유 재질 두 가지의 방식이 있는데
요즘에는 대부분 폴리 섬유가 사용되지만 유리섬유가
좀 더 무겁고 사용되는 곳도 많다.
유리섬유는 경화(굳기)가 되기 전에 커팅을 했을 경우 모서리가
날카로운 부분을 형성된다고 한다.

사진 삭제
사진 설명을 입력하세요.
대략 이런...? 느낌이다 저기에 스치면 따가움
유리섬유의 Splint의 경우 경화되는 내부 포켓부분이 이렇게 석고재질로 되어있어서 날카롭다.
폴리의 재질의 Splint의 경우
유리보다는 덜 날카롭고 부드럽다.
반깁스 Splint의 종류
Splint 스프린트는 롤Roll 타입과 Pre-cut의 Splint가 있다
Roll Type의 원하는 길이로 잘라서 사용하는
Roll Splint

대표사진 삭제
사진 설명을 입력하세요.
롤타입의 스프린트도 2인치부터 6인치까지 있으며
환자의 부위의 두께, 부위에 따라 적절하게 사용가능
규격에 따라 잘라있는 Pre cut Splint
(One Stap Splint)로도 불림
5x30 5x45 5x60 같은 길이로 컷팅되어있고
SLS는 5X30이나 4x30을 주로 사용한다
손목의 경우 2인치,3인치를 주로 사용하고
부위별, 환자의 부위에 맞게 6인치까지 사용가능하다

Pre-Cut One Stap Splint
의료보험이 적용되서 반깁스는 2만원대(압박붕대포함)
통깁스의 경우 2만5천원부터 3만원후반의 가격이다
병원 의원급이냐 종합병원에 따라 비용은 상이하다
보통 건강보험처리하면 18760원대로 본인부담금이 처방된다.
precut은 SLS냐 LLS냐에 따라서 길이에 따라 비용 수가 (비용)이 결정되는 것 같다
다리 반깁스의 주의점 : 반깁스(스프린트)를 통한 다리깁스 시 뒷꿈치 욕창의 문제
반깁스 시술이나 깁스 시술 시 뒷꿈치가 깁스에 눌려
욕창이 생기는 경우가 있다
욕창발생 시 통증을 유발하고 멍이들거나 피부괴사등의 문재가 발생하시때문에
뒷꿈치의 욕창을 방지하기 위해 솜붕대를 두껍게 감거나, 폼패드를 요즘에는 많이 사용하고 있다,
그냥 처음에 스프린트로 모양을 만들떄 솜붕대를 감소하거나 아래의 폼패드를 하고 모양을 만들고
굳은다음에 다시 붕대를 감으면 뒷꿈치 통증은 그나마 덜하다. 이게 너무 스프린트와 뒷꿈치가 딱붙어도 문제라
스프린트 시술시 솜붕대를 두껍게감고 스프린트를 경화 (굳혀야) 욕창이 덜 잘생한다 눌리지않고 여우가 있기 때문.
대학병원급은 다리의 경우 솜붕대를 감고 반깁스를 제작하는경우가 많은 것 같았다.

대표사진 삭제
사진 설명을 입력하세요.
반깁스 시 욕창과 뒷꿈치 통증 방지를 위해 사용되는 레노폼힐
반깁스 Splint 하는 경우와 cast 깁스를 하는 경우
반깁스는 골절 부위가 심하지 않거나 많이 부어서 깁스를 하지 못하거나, 깁스를 고정할 만큼 고정이 필요하지 않을 경우
반깁스 Splint 시술을 시행한다
깁스(통깁스) Cast의 경우 반깁스보다 더 고정이 잘 되므로 골절 및 인대 손상이 심해 장기간 고정 및 단단한 고정이 필요할 때 시행하고
깁스는 반깁스에 비해 스스로 풀 수 없기 때문에 샤워하는데 어려움이 있다.
먼저 깁스는 상지냐 , 하지에 따라 나뉘는데
상지는 손가락, 손목, 팔꿈치
하지는 발가락, 발목 , 종아리, 무릎, 허벅지정도를 하지라고 한다 .
먼지 상지의 부터 정리한다.
단하지 깁스 부목의 종류는 여러가지가 있다.
Sugar tong splint , Short Arm Splint, Sugar tong Splint, Long arm splint
줄여서 STS, SAS, STS, LAS로 부르기도 하고
깁스의 경우는 Splint 에서 Cast로 바궈 STS,SA,LAC,SAS로 부르기도한다;.
1. Sugar tong splint (STS)
설탕 집게 모양처럼 생겼다그래서 붙여진 슈가 스프린트
손바닥부터 손등(팔꿈치 시작전까지) 대어 고정시켜는 방식이다.
주로 손목관절의 손상, 골절된 경우 사용된다.

사진 삭제
사진 설명을 입력하세요.
이때 팔꿈차와 손목의 각도가 90도가 되어야 깁스 제거 후 불편하지 않는다.
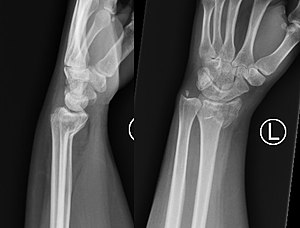
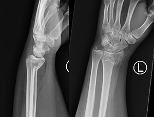
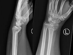
손목관절 중에서 골절이 많이 일어나는 골절이 노뼈(척골)의 골절이 많이 일어나는데,
어떻게 골절이 되느냐에 따라서 Colles 골절, Smith 골절로 지는데
Smith 골절일 경우 주로 시행한다고 한다

사진 삭제
사진 설명을 입력하세요.
Xray상으로도 보이는 손목이 완전 절반쩍도 꺽이면서 발생한 골절은 스미스 골절이라고 하는데
손목 구조상 손목을 관적을 틀면 손등까지 움직이므로 보통 슈가 스프린트를 사용한다,
2. Dubble Sugar tong splint (DSTS)

사진 삭제
사진 설명을 입력하세요.
Dubble Sugar tong splint 는 주로 팔꿈치의 골절, 손등의 골절 시 주로 시행하며
이때도 손목과 팔꿈치의 각도가 90도를 유지해야한다.
3. Finger Splint (FS)

사진 삭제
사진 설명을 입력하세요.
Finger Splint는 손가락에 하는 부목이다.
주로 알류미륨판으로 고정.
4. Shot Arm Splint (SLS) 또는 Short Arm Cast(SAC)

사진 삭제
사진 설명을 입력하세요.
손바닥부터 손목까지 주로 고정을 할떄 시행하며
손목염좌 손목골절 손바닥손상 팔꿈치 아래 부위의 손상시 시행
5. Long Arm Splint (LAS) 또는 Long Arm Cast(LAC)
사진 삭제
사진 삭제
사진 설명을 입력하세요.
고정 위치 : 손목부터 팔꿈치까지 고정
대상: 주로 팔꿈치 관절의 손상이나 근육파열 인대손상
팔등 골절이나 손목골절이 심한 경우에도 시행 행된다.
6. thumb Spica splint OR thumb Spica Cast

사진 삭제
사진 설명을 입력하세요.
엄지손가락과 손목은 관절이 연결되어 있어 건초염(드퀘르벵) 증후 군이나 손가락 주위 인대 근육손상 시
엄시손가락을 움직이면 손목이 움직이기에 같이 고정한다.
스피카 부목은 엄지 손가락을 제외한 다른 손가락을 자유롭게 움직일 수 있도록 고정한다.
주로 엄지손가락의 골절, 손목 임대손상, 골관절염, 드퀘르벵 증후군 또는 주상골 골절시 주로 사용된다.
7. radial gutter splint

사진 삭제
사진 설명을 입력하세요.
2, 3번째 손가락의 골절이나 2, 3번째 중수골의 경부, 체부, 기저부의 골절이 있을 경우 시행한다.
8. Ulnar gutter Splint Or Ulnar gutter Cast

사진 삭제
사진 설명을 입력하세요.
주로 손목 척측, 즉 손목의 새끼 손가락 방향 주위의 염좌나 힘즐염의 손상시 시행하며
단하지로 엄지손가락,검지손가락을제외하고 중지손가락부터 스프린트를 대고 시행한다.
5번째 손가락의 골절이나 4, 5번째 중수골의 경부, 체부, 기저부의 골절이나 인대손상이 있을경우 시행한다.
다음으로 하지(다리)다.
다리에 하는 부목, 깁스의 종류는
3가지로 나눠진다
3가지중에서도 단하지와 장하지로 나뉘는데,
SLC, SLS 는 단하지 고정
LLC, LLS 는 장하지 고정 말그대로 길다해서 장하지
Cylinder Splint , Cylinder Cast도 장하지이다.
1. Short Leg Cast Or Short Leg Splint
SLC : Short Leg Cast / SLS : Short Leg Splint
말 그대로 짧은 다리 고정이란 의미로 쓰이며 발가락부터 발목, 종아리까지의 고정을 한다,
주요시기 : 발목 골절, 발등 골절, 중족골, 발가락 골절, 인대 파열, 종아리근육 파열
부위에 따라 길이가 달라지는데 무릎 밑까지 하는게 일반적이다.
다리(하지)의 반깁스 설명에 앞써 반깁스(스프린트)의 시술과정을 간략히 정리

대표사진 삭제
사진 설명을 입력하세요.
Splint의 사용방법은 진공포장된 스프린트를 개봉하여 물을 적시고 스프린트의 물을 짜내고 환부의 고정하면
15분-20분 이내 굳는다.

대표사진 삭제
사진 출처 : 비엘테크 스프린트 소개 영상
다리 기준으로 SLC 또는 SLS 시술 시 골절 부위에 따라 길이가 달라지는데
무릎 밑까지 하는 경우 fibular head(무릎 밒에 있는 비골두뼈) 중앙부터 시작하여 발끝까지 한다.
Splint나 Cast 시술 시 비골 후 뼈가 눌리지 않도록 주의해야 하며
발목의 경우 90도의 각도를 유지한 상태에서 깁스 고정을 올바른 고정이 된다.
반깁스의 각도가 90도가 아닐 경우 뼈가 붙는데 문제가 생긴다.
예외적으로 골절부위에 따라 90도보다 높게하는 경우도 있긴함

대표사진 삭제
출처 : 주식회사 덕인 스프린트 소개 영상
필요에 따라 다리 반깁스(Splint)의 몰딩으로 환부에 맞게 제작이 완료된 후에는
발가락의 형태에 맞게 자를 수 있다.
발가락 형태에 맞게 둥글게 커팅 하는 게 깁스 신발을 신거나 이블류에 걸리지 않는 것 같다.
반깁스 시술 시 발꿈치 부분과 정강이 부분의 욕창이 생겨서 깁스 중에 피루 괴사 피부가 멍이 드는 증상이
많이 발생하는데 통증이 발생할 경우 빠른 시일에 병원에 가서 재시술을 해야 한다,
간혹 응급실 EM에서 급하게 시술해서 욕창이 생기는 경우도 많이 봄 ㅠㅠ
반드시 각도는 반깁스나 석고 깁스고 90도를 유지해야 한다.
간혹 치료방법이나 부위에 따라 90도가 아닌 65도로 등 각도가 바뀌는 경우가 있는데
L자형 90도로 고정이 안되면 걷는 것도 불편하고 힘들다.

대표사진 삭제
출처 : 주식회사 덕인 스프린트 소개 영상

사진 삭제
사진 설명을 입력하세요.
오더에 따라 처방을 내릴 때 용어가 쓰이는데 참고하면 좋다,
2. Long Leg Cast , Long Leg Splint (LLC)
LLC는 SLC와 같은 의미에서 그냥 길다 해서
발가락부 터 허벅지 끝까지 고정
아킬레스건 골절이나, 무릎인대 손상, 허벅지뼈 손상 등 움직임을 최소화할 때 고정한다

사진 삭제
사진 설명을 입력하세요.
3. Cylinder Splint
Cylinder Splint 는 발목의 끝부터 무릎의 끝인 허벅지까지 고정하는 방식이다.
무릎의 염좌,무뤂의 인대 손상, 무릎의 골절에 주요 사용
LLC(Long Leg cast)가 발가락부터 였다면 실린더는 발목 끝부터 고정한다

사진 삭제
cylinder splint

대표사진 삭제
사진 설명을 입력하세요.
응급실에서 시행한 Cylinder Splint 시행 사진

사진 삭제
사진 설명을 입력하세요.
이렇게 무릎 손상의 시행하는 고정방식이다,

대표사진 삭제
사진 설명을 입력하세요.
양쪽 발목 반깁스도 해봤는데
양발깁스의 경우

대표사진 삭제
사진 설명을 입력하세요.
DSLC 또는 DSLS로 불림
DSLS(Dubble Short leg Splint)라고도 하고
DSLC(Dubble Short Leg Cast) 라고도 하는것 같다
양쪽 발목이나 인대가 같이 손상되는 경우가 사실 드문데, 한쪽 다리를 다친 상태에서
목발을 짚다가 계단에서 넘어진다던가...교통사고가 나거나 갑자기 툭 떨어져서 다치면 골절이나 인대 손상이 간다.
'이슈,정보' 카테고리의 다른 글
| 내가 쓰고 있는 연회비가 아깝지 않은 교통비 할인카드 - 신한카드 B.Big 카드 (0) | 2023.09.03 |
|---|---|
| 네이버 블로그 도메인 정책변경으로 개인도메인과 blog.me는 올해말까지는 사용가능하다고 합니다. (0) | 2020.03.22 |